Corona-Virus Impfung

Dreimal Herzstillstand bei COVID-19-„Geimpften“ – Mikronarben die töten

Ich bin kein Arzt, aber ich stelle mir vor, dass es zu den schlimmsten Dingen, die einem Arzt widerfahren können, gehört, mit allem zu behandeln, was ihm seine Kenntnisse an Möglichkeiten bereitstellen und dann – trotz der Behandlung – seinen Patienten zu […]

Corona-Virus Impfung

COVID-19 mod-RNA „Impfung“: Nierenschäden werden häufig mitgeliefert

Zu den ersten Erkrankungen, die wir als direkt von modRNA-Spritzbrühen verursacht, beschrieben haben, das war spätestens im Oktober 2021, gehört das Nephrotische Syndrom: Hanna et al. (2021) präsentieren den Fall eines 60 Jährigen ohne medizinische Vorgeschichte, der nach Gentherapie mit Pfizer/Biontechs Comirnaty […]

Corona-Virus Gesundheit Immunsystem Impfung

Impfschaden „vererbt“: 3jähriges Kind leidet unter „Impfung“ der Mutter mit Pfizer/Biontechs BNT162b2/Comirnaty

Bis heute gibt es eine Reihe unverantwortlicher Leute, die auf Basis von unvollständiger Information und ohne die dazu notwendige Datengrundlage behaupten: COVID-19 Shots seien für Schwangere ungefährlich, unproblematisch, ohne Risiko: Unbegründete Empfehlungen, wie die der STIKO (links) werden ausgesprochen, obwohl zu keinem […]

Corona-Virus Impfung

Die nächste COVID-Lüge, die auffliegt. Pfizer/Biontech und Astrazeneca mischen erhöht das Sterberisiko

Nicht nur die WHO und die European Medicines Agency, alle, die ihre Hände im Impfgeschäft haben, egal, ob Robert Koch Institut, Paul-Ehrlich-Institut oder andere Institute, denen der Schutz der Gesundheit der Bevölkerung anvertraut ist, ALLE, ausnahmlos alle haben die Erzählung verbreitet, mit […]

Biologie Corona-Virus Genetik Impfung

Genetische Zeitbomben … COVID-19-modRNA-„Impfstoffe“ haben die Lunte gezündet

Zugegeben, an diesem Ergebnis, das Kevin McKernan gerade auf seinem Substack veröffentlicht hat, haben wir gekaut… Länger als gewöhnlich. Es geht einmal mehr um amyloide Strukturen, missgefaltete Proteine, die sich in Blutgefäßen zu dauerhaften, gummiartigen, die Blutbahn versperrenden Strukturen verdichten, die dann, […]

Corona-Virus Impfung

14.126 Schlaganfälle pro Jahr als Folge von mod-RNA-COVID-19-„Impfung“? Japanische Studie legt es nahe

Die Zeiten, zu denen Fachjournale sich geweigert haben, Beiträge, die für mod-RNA COVID-19 Shots schlechte Nachrichten enthalten haben, Beiträge, die zeigen, dass mod-RNA mehr Schaden anrichtet als Nutzen bringt, unterdrücken konnten, scheinen endgültig vorbei zu sein. In den letzten Monaten rappelt es […]

abweichendes Verhalten Corona-Virus Impfung

Menschliche DNA in amyloiden Fasern aus COVID-19 Impfstoffen, die Adern und Venen verstopfen…

Es wird immer schlimmer… Es gibt einen neuen Beitrag, der sich mit den amyloiden Fasern befasst, die für Bestatter mittlerweile zur Normalität geworden sind, einen, der es in sich hat. Sie erinnern sich noch an die Berichte der Bestatter, die aus Leichnamen lange […]

Corona-Virus Gesundheit Impfung

Impf-Massentotschlag: Je mehr Leute gegen COVID-19 geimpft wurden, desto höher die COVID-19 Sterblichkeit

Vor kurzem haben wir über eine englische Studie berichtet, die gezeigt hat, dass Masern-Ausbrüche umso wahrscheinlicher werden, je mehr gegen Masern geimpft wird. Wer es nachlesen will, der kann es hier tun. Robert, Alexis, Anne M. Suffel, and Adam J. Kucharski (2024). […]

Corona-Virus Impfung

Die Krebs-Files: modRNA-COVID-19 Shots haben Krebs zur Folge: Die lange Liste der Belege

Nach wie vor ist keiner der Verantwortlichen für eines der größten Gesundheitsdesaster der Menschheit dazu bereit, seine Verwicklung in die Nebenwirkungssaga, die durch mo(r)d-RNA-COVID-19 Shots verursacht wurde, zum Anlass zu nehmen, um reinen Tisch zu machen und sich um die FOLGEN SEINER […]

Corona-Virus Gesundheit Immunsystem

Endlich die Studie, die zeigt, dass mRNA-COVID-19 „Impfstoffe“ Ihrer Gesundheit förderlich sind … [oder auch nicht]

jedenfalls behaupten das die Autoren der Studie, ein ganzes Rudel von Autoren, die am Universitätsklinikum in Köln und bei der Max-Planck-Gesellschaft ihr Brot verdienen. Auf das Universitätsklinikum Köln kommen wir noch zurück. Diese Leute: Simonis, Alexander, Sebastian J. Theobald, Anna E. Koch, […]

Corona-Virus Immunsystem Impfung Still's Disease

Still’s Disease: JUNK-DNA in COVID-19 Spritzbrühen löst Autoimmunerkrankung aus

Wenn es Ihnen so geht wie mir, dann haben Sie bis zum heutigen Tag noch nie etwas von Still’s Disease gehört. Still’s Disease (Morbus Still) ist eine dieser ekelhaften und langwierigen Erkrankungen, die von einem Immunsystem ausgelöst werden, das Zytokine im Überfluss […]

Corona-Virus Impfung

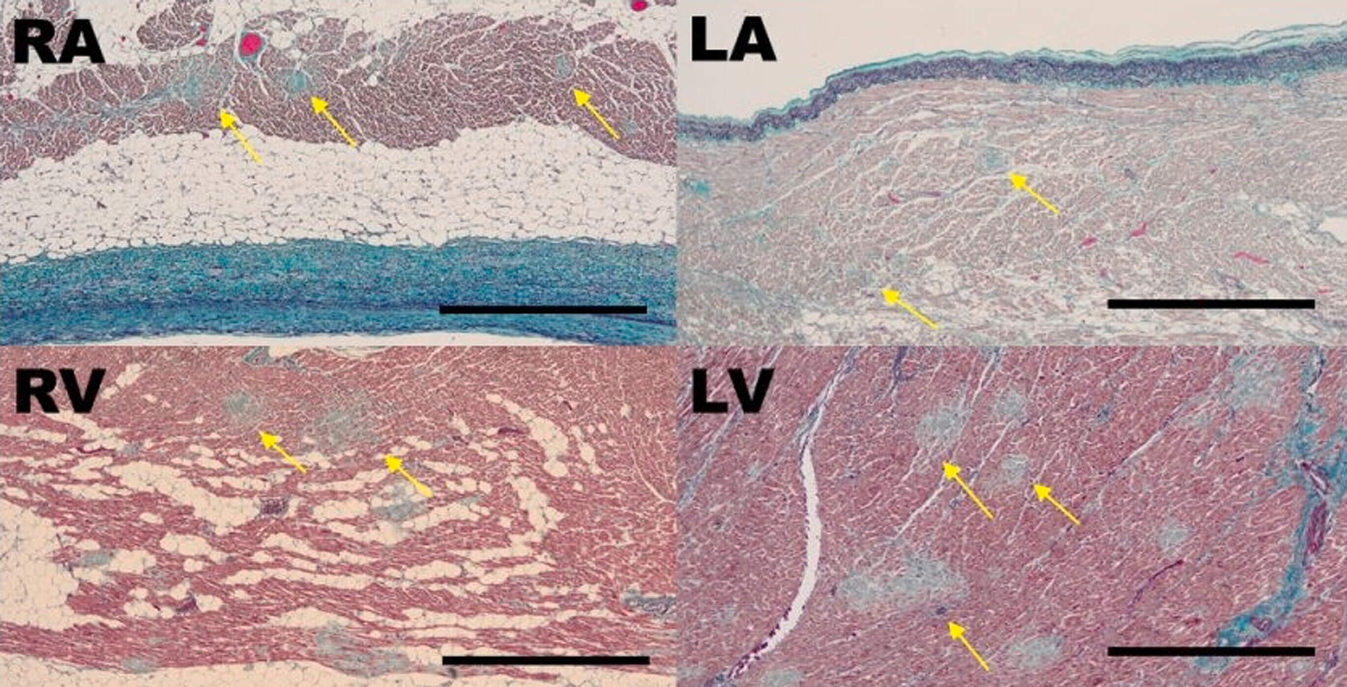
Wie viele COVID-19 modRNA-Gespritzte laufen mit erst posthum erkennbaren Mikro-Herzschäden herum, an denen sie sterben werden?

Zu den Studien, die einen Beunruhigungs-Faktor mit sich bringen, der den Blick auf die Realität verändert, gehört die folgende Studie, auf die wir gerade gestoßen sind: Koizumi, Tomomi, and Masao Ono (2025). Cardiac Multiple Micro-Scars: An Autopsy Study. Case Reports 30(5): 103083. […]

Corona-Virus Impfung politische Korruption

Sondermüll von Pfizer/Biontech: Zuweilen mehr karzinogene Junk-DNA als modRNA-Wirkstoff in Comirnaty

Was ist eigentlich die Aufgabe von Zulassungsbehörden wie der EMA, der European Medicines Agency? Lesen wir nach: „The European Medicines Agency (EMA) is a decentralised agency of the European Union (EU). It is responsible for the scientific evaluation, supervision and safety monitoring […]

Corona-Virus Impfung

Unethisches Verhalten: Bei Biontech ist ganz genau bekannt, wie schädlich ihre COVID-19 Spritzbrühe ist [Neues Patent]

Vor allem die lipiden Nanopartikel, die genutzt werden, um modRNA in menschliche Zellen zu transportieren, richten eine Unmenge Schaden in den Organismen an, deren kognitive Schaltzentrale keine Einwände gegen eine Inkubation mit Comirnaty/BNT162b2 erhoben hat. Dr. habil. Heike Diefenbach hat die vielen, […]

Corona-Virus Impfung Krebs

Weitgehend verändertes Blutbild: Ein neuer Weg, auf dem modRNA-COVID-19 Shots Krebs verursachen können

Man kann die Studie, auf die Steve Kirsch in seinem gestrigen Newsletter hingewiesen hat, click-baitable machen, um Leser auf seine Werbeseite um etwas Information herum zu kanalisieren, etwa als neue Rekordmeldung: „Studie weist Spike-Protein noch 709 Tage nach Impfung im Blut nach“. […]