Corona-Virus Gesundheit Impfpflicht Impfung

Ergebnis: Krebs – mRNA-Impfstoff kann Immunreaktion von Gehirnzellen reduzieren

Die Ergebnisse, die wir in diesem Beitrag berichten, stammen von H. Abramczyk, B. Brozek-Pluska und Karolina Beton, alle an der Universität von Lodz beschäftigt, die unter dem Titel „Decoding COVID-19 mRNA Vaccine Immunometabolism in Central Nervous System: Human Brain Normal Glial and […]

Corona-Virus Impfung

Blick in den Abgrund: BNT162b2/Comirnaty in Zell-DNA gefunden

Markus Aldén, Francisko Olofsson Falla, , Daowei Yang, Mohammad Barghouth, Cheng Luan, Magnus Rasmussen und Yang De Marinis könnten als Autoren einer jener Studien in die Geschichte eingehen, die den Blick von Wissenschaftlern auf ihren spezifischen Gegenstand verändert hat, in diesem Fall […]

Corona-Maßnahmen Corona-Virus COVID-19 Hysterie Impfpflicht Impfung

Vaccination kills: Nach diesen Daten aus Neuseeland kann man den Zusammenhang von Impfung und Sterblichkeit kaum noch anzweifeln

eigentlich… Neuseeland. Eine wunderschöne Insel. Voller hervorragender Rugby-Spieler und Bäumen. Gestraft mit einer Regierung, die den Begriff der Gefängnisinsel neu belebt hat. Die Regierung von Jacinda Ardern, die aus dem Stall von Klaus Schwab stammt, stellt, was die Hysterie betrifft, mit der […]

Corona-Virus Gesundheit Impfung

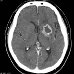
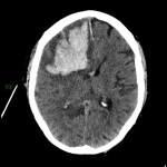
COVID-19-Impfung: Gehirnblutung mit Ventrikelriss: Noch einer dieser Einzelfälle nach Gentherapie mit Pfizers Comirnaty

Die Frage, wann die Nebenwirkungen nach Impfung so zahlreich sind, dass man sie a) nicht mehr unter den Teppich kehren und b) als Einzelfall abtun kann, wie das derzeit getan wird, in einem Experiment in Kollektivismus, das man auf die Formel bringen […]

Corona-Virus Gesundheit Impfung

Schweden stoppt COVID-19-Impfung mit Modernas Spikevax für nach 1990 Geborene

Schön, wenn man innerhalb kurzer Zeit bestätigt wird. Schlecht, wenn sich zeigt, dass Gesundheitsbehörden nach dem St.Florians-Prinzip agieren. Unser Beispiel heute: Die schwedische Gesundheitsbehörde. Wie die Schwedische Gesundheitsbehörde „Folkshälsomyndigheten“ auf ihrer eigenen Internetseite berichtet, wurden in Schweden mit sofortiger Wirkung und bis […]

Corona-Virus Gesundheit Impfung

Erste Autopsie eines nach COVID-19-Impfung Verstorbenen: In der Ärzte-Zunft herrscht Angst

Eine Autopsie, zwei Interpretationen. Welche ist die richtige bzw. die wahrscheinlichere? Deutsche Wissenschaftler haben eine Autopsie bei einem Patienten durchgeführt, der nach Impfung mit BNT162b2, Comirnaty, dem Impfstoff von Pfizer/Biontech verstorben ist. Die Beschreibung der Ergebnisse zeigt nach unserer Ansicht, wie groß […]

Corona-Virus Gesundheit Impfung

Giftig für Menschen: UK-Ärzte fordern Aussetzung der COVID-19-Impfung

Ein großer Teil unserer derzeitigen Arbeit besteht darin, Entwicklungen zu verfolgen und unsere Leser mit den neuesten Informationen z.B. zu Fragen der Sicherheit von COVID-19-Impfstoffen zu versorgen. Diese, zuweilen sehr mühsame Arbeit, hat uns zur Evidence based Medicine Consultancy geführt, die ihren […]

Corona-Virus Impfung

Stoppt Massenimpfung! Das fordern 50 Ärzte und Wissenschaftler wegen zu hoher Risiken

Vor nicht allzu langer Zeit haben wir darüber berichtet, dass Doctors4Covid-Ethics die derzeit laufenden Massenimpfungen für unnötig, ineffizient und gefährlich halten und deshalb deren Ende fordern. Die umfangreiche Begründung dieser Forderung haben wir hier zusammengestellt. Nun schlagen auch 50 Mediziner, Ärzte, Epidemiologen, […]

Corona-Virus Gesundheit Impfung

Auf dem Weg zu 5.000 Impftoten

Im Zusammenhang mit COVID-19 stehen Simulationen nach wie vor hoch im Kurs. Da die meisten Simulationen nichts anderes sind, als eine etwas komplexere Anwendung von Grundrechenarten, haben wir gedacht, machen wir unsere eigene Simulation dahingehend, wie sich das Impfregime, das in Deutschland […]

Corona-Virus Gesundheit Impfung

Mutwillige Gefährdung? AstraZeneca mit Pfizer/Biontech kombinieren – STIKO spielt mit der Gesundheit von unter 60jährigen [Lab Rats]

Die Saga um den Impfstoff von AstraZeneca nimmt in Deutschland immer skurrilere und immer gefährlichere Formen an. Die neueste Entwicklung sieht nun die Ständige Impfkommission (STIKO) die folgende Empfehlung geben: „Hinsichtlich der zweiten Impfstoffdosis für jüngere Personen, die bereits eine erste Dosis […]

Corona-Virus Gesundheit Impfung

Ärzte warnen vor gefährlichen Blutgerinnsel als Folge von Impfungen mit COVID-19-Impfstoffen

Angeblich leben wir in einer Informationsgesellschaft. Diese Behauptung, die vielleicht niemand so dezidiert vorgebracht hat wie Peter Drucker, der einen Übergang von einer Gesellschaft, in der vornehmlich materialle Güter getauscht werden, in eine Gesellschaft, deren Haupttauschgegenstand Information und Wissen sind, sieht, auch […]

Corona-Virus Gesundheit Impfung

Erhebliche Nebenwirkungen erwartet: Eine öffentliche Debatte über COVID-19-Impfstoffe ist dringend notwendig

Egal, welches Thema wir in den letzten Jahren bearbeitet haben, wir sind regelmäßig an einem Punkt angekommen, an dem wir konstatieren mussten, dass eine interessierte Gruppe versucht, den öffentlichen Diskurs zu verhindern. Als wir 2002 „Bringing Boys Back In“ veröffentlicht und in […]

Corona-Virus Gesundheit

Wogegen schützen COVID-19-Impfstoffe? Schützen sie überhaupt? Ziehen Sie sich warm an!

Der Jubel über den Durchbruch bei Impfstoffen gegen SARS-CoV-2 / COVID-19 ist noch nicht verhallt. Alle freuen sich darüber, dass der Impfstoff eine 90%ige Effektivität hat. Aber was bedeutet eine 90%ige Effektivität? Heißt das: Unter Geimpften stecken sich 90% weniger Personen an […]

Corona-Virus Gesundheit Hysterie Impfung

COVID-19-Impfstoff: „Großartige, vielversprechende Daten“ – nur: keiner kennt die Daten

Jubel! Rettung! Sieg! Ein deutsches Unternehmen! Impfstoff! Wer soll den Impfstoff als erster erhalten? Bis zum Ende des Jahres gibt es bereits die ersten Dosen. Die Pandemie ist zum Pandemonium geworden. Die Begeisterung ist nicht mehr auszuhalten: „Das sind großartige und vielversprechende […]